Aunque su nombre real no sea ampliamente conocido, Henrietta Lacks es una figura fundamental en la historia de la medicina moderna, no por su profesión, sino por el legado de sus células, conocidas como HeLa. Estas células, cultivadas a partir de su cuerpo, han sido pilares en innumerables investigaciones científicas durante más de 60 años, desde el desarrollo de la vacuna contra la polio hasta el estudio de la inmortalidad celular en el cáncer.
¿Quién fue Henrietta Lacks?
Henrietta Lacks fue una mujer afroamericana nacida en 1920 en una familia de cultivadores de tabaco en Estados Unidos. A pesar de una vida marcada por la pobreza, se caracterizaba por su alegría y una estrecha relación con su familia, compuesta por su esposo y cinco hijos. A principios de 1951, le fue diagnosticado un cáncer de cérvix. Fue tratada en el Johns Hopkins Hospital de Baltimore mediante braquiterapia, un método común en la época. Tras una remisión temporal, la enfermedad progresó rápidamente, llevándola a la muerte por fallo renal ese mismo año.
Durante su tratamiento, el Dr. Richard TeLinde estaba recolectando muestras de cáncer de cérvix para su estudio. El Dr. George Gey, quien llevaba tiempo perfeccionando las técnicas de cultivo celular, procesó estas muestras. Sin solicitar autorización, ya que no existía regulación al respecto, tomó una muestra de Henrietta Lacks y la puso en cultivo. De este cultivo surgieron las incontables generaciones de células HeLa que, hasta la actualidad, se utilizan en laboratorios de todo el mundo.

Las células HeLa: Un hito en la biología molecular
Las células HeLa fueron las primeras células humanas en ser cultivadas y crecer de manera continua en un medio controlado. Este avance permitió el desarrollo de protocolos de cultivo celular que se utilizan hasta nuestros días. Su capacidad de crecimiento y proliferación es extraordinaria; de hecho, se estima que la masa total de células HeLa cultivadas a nivel mundial supera con creces la masa del cuerpo original de Henrietta Lacks.
Su longevidad y capacidad de replicación infinita, fenómeno conocido como inmortalidad celular, se atribuye a la actividad de la enzima telomerasa. Esta enzima, que reconstruye los telómeros (los extremos de los cromosomas) tras cada división celular, evita el acortamiento de los mismos, lo que normalmente desencadena el envejecimiento y la muerte celular (apoptosis). Las células HeLa, al poseer una telomerasa extremadamente activa, superan el llamado límite de Hayflick, que restringe el número de divisiones de las células normales.

Contribuciones científicas de las células HeLa
Las células HeLa han sido fundamentales para innumerables descubrimientos y avances científicos:
- Vacuna contra la poliomielitis: Las células HeLa fueron cruciales para el desarrollo de la vacuna Salk, permitiendo el crecimiento del virus en laboratorio para su estudio y posterior desarrollo.
- Investigación sobre radiación y vuelos espaciales: Se utilizaron para estudiar los efectos de la radiación y las condiciones del espacio en células humanas.
- Mapeo genético: Han contribuido al avance en la comprensión del genoma humano.
- Ensayos de seguridad de productos: Se emplearon para probar los efectos de cosméticos y otros productos químicos, asegurando que no causaran efectos secundarios indeseados en células humanas.
- Investigación sobre enfermedades: Han sido vitales en la investigación del cáncer, el SIDA y la enfermedad de Parkinson, así como en el desarrollo de terapias génicas y medicamentos para tratar estas afecciones.
- Estudio de virus: Su alta susceptibilidad a diversos virus, como el adenovirus humano 3, el virus de la encefalomiocarditis y los poliovirus, las hace esenciales para estudiar la replicación viral y desarrollar estrategias antivirales.
La magnitud de su uso es tal que, en la década de 1960, se descubrió que una gran parte de los cultivos celulares a nivel mundial estaban contaminados por células HeLa, evidenciando su increíble capacidad de propagación.
Henrietta Lacks y las células inmortales 🔬🧫
Aspectos éticos y legales: El caso Lacks
Durante los primeros 50 años tras su muerte, la familia de Henrietta Lacks desconocía por completo la existencia de sus células cultivadas y las aportaciones científicas y económicas derivadas de ellas. Solo en años recientes se reveló el nombre de la donante original y se han realizado esfuerzos para reconocer sus involuntarias contribuciones.
La historia de Henrietta Lacks plantea profundos cuestionamientos éticos y legales sobre la investigación biomédica y la protección de los derechos individuales, especialmente en relación con la obtención y uso de materiales biológicos humanos.
El consentimiento informado y la protección de los pacientes
En la época en que se tomaron las muestras de Henrietta Lacks, no existía una regulación clara sobre la obtención de tejidos para investigación. Los médicos y científicos actuaban bajo la premisa de que los materiales quirúrgicos "abandonados" no requerían consentimiento explícito. Sin embargo, este vacío legal y ético dio lugar a prácticas que hoy serían inaceptables.
El caso Lacks, al salir a la luz, generó un intenso debate que impulsó la modificación de las buenas prácticas clínicas a nivel mundial. Se hizo evidente la necesidad de establecer normativas rigurosas para garantizar el consentimiento informado de los pacientes. Este principio fundamental asegura que los pacientes comprendan plenamente la información relevante sobre un procedimiento médico o de investigación y puedan tomar una decisión voluntaria.

La familia Lacks, al enterarse de la situación, inició una larga batalla legal. Un hito reciente fue el acuerdo alcanzado en 2021 con la empresa Thermo Fisher Scientific, acusada de haberse beneficiado de las células HeLa durante décadas sin compensación alguna. Si bien los términos del acuerdo son privados, representa un reconocimiento a la dignidad y justicia para la familia Lacks.
Reconocimientos póstumos
A lo largo de los años, se han llevado a cabo diversos actos de reconocimiento hacia Henrietta Lacks y su legado:
- En 1996, la Escuela de Medicina Morehouse de Atlanta y el alcalde de la ciudad reconocieron a la familia Lacks por sus contribuciones póstumas.
- Una resolución del Congreso estadounidense honró la memoria de Henrietta Lacks y sus aportaciones a la ciencia.
- En 1998, el documental de la BBC "Modern Times: The Way of All Flesh" sobre Lacks y HeLa ganó un premio en el Festival Internacional de Cine de San Francisco.
- En 2021, la Organización Mundial de la Salud (OMS) celebró una ceremonia conmemorando los avances científicos posibilitados por las células de Lacks, reconociendo la explotación sufrida.
- En 2023, la delegación de Maryland ante el Senado de EE. UU. presentó un proyecto de ley para otorgarle póstumamente la Medalla de Oro del Congreso.
Personas clave en el descubrimiento y desarrollo de las células HeLa, como Mary Kubicek (asistente de laboratorio que descubrió la supervivencia de las células fuera del cuerpo) y los doctores George y Margaret Gey, también han sido rememoradas por sus contribuciones.
Características científicas de las células HeLa
Las células HeLa poseen una serie de características únicas que las hacen invaluable para la investigación:
- Inmortalidad: Capacidad de división celular ilimitada gracias a la activa telomerasa.
- Rápida proliferación: Duplican su número en menos de 24 horas, ideales para ensayos a gran escala.
- Susceptibilidad a virus: Son especialmente sensibles a diversos virus, facilitando su estudio.
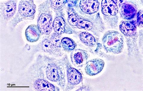
- Anomalías cromosómicas: Presentan un número cromosómico hipertriploide (promedio de 82 cromosomas, en lugar de los 46 diploides normales), con un cariotipo complejo que incluye aneuploidía y reordenamientos estructurales. Estas anomalías están asociadas al cáncer de cuello de útero.
- Genoma modificado: Debido a la transferencia horizontal de genes del Virus del Papiloma Humano 18 (VPH18), su genoma difiere del de Henrietta Lacks.
- Tamaño: Su diámetro es de 10-20 µm, considerándose relativamente pequeñas en comparación con otras células de mamíferos.

El legado y la reflexión
La historia de Henrietta Lacks y las células HeLa es un poderoso recordatorio de los dilemas éticos que acompañan al avance científico. Plantea preguntas fundamentales sobre los límites de la investigación, la importancia de la ética y la necesidad de equilibrar el progreso científico con los derechos y la dignidad humana. La ciencia avanza a pasos agigantados, pero es crucial que la reflexión ética guíe cada uno de sus pasos.